Bajo la dirección de TPD Hector Alvarez 15 años en el sector de la mécanica dental

Ofrezco servicios de laboratorio dental con materiales de primera calidad y tecnología avanzada para garantizar resultados duraderos, estéticos y funcionales. Con 15 años de experiencia en el sector, mi compromiso es brindar soluciones personalizadas que se adapten a las necesidades únicas de cada odontólogo y técnico dental.
Bajo la dirección de TPD Hector Alvarez 15 años en el sector de la mécanica dental
Ofrezco servicios de laboratorio dental con materiales de primera calidad y tecnología avanzada para garantizar resultados duraderos, estéticos y funcionales. Con 15 años de experiencia en el sector, mi compromiso es brindar soluciones personalizadas que se adapten a las necesidades únicas de cada odontólogo y técnico dental.

¿Qué ofrezco?
¿Por qué elegirme?
Escríbeme
Diseño y fabricación de prótesis dentales (coronas, puentes, carillas, aparatos de ortodoncia).
Materiales certificados y biocompatibles.
Atención personalizada y asesoramiento técnico profesional.
Entrega puntual y rigurosos controles de calidad en cada etapa.
Tecnología avanzada: Utilizo herramientas y técnicas innovadoras para precisión milimétrica.
Enfoque humano: Priorizo la comodidad y satisfacción de pacientes y profesionales.
Garantía de excelencia: Cada pieza es fabricada con pasión, dedicación y altos estándares éticos.
Confía en un profesional que cuida tu sonrisa como si fuera la propia.
¡Contáctame para más información o solicitar presupuesto sin compromiso!
SERVICIOS
Prótesis Acrílico

Ofrezco servicios de laboratorio dental con acrílico de alta calidad, un material confiable y versátil ideal para prótesis, reparaciones y dispositivos dentales que combinan funcionalidad, resistencia y estética.

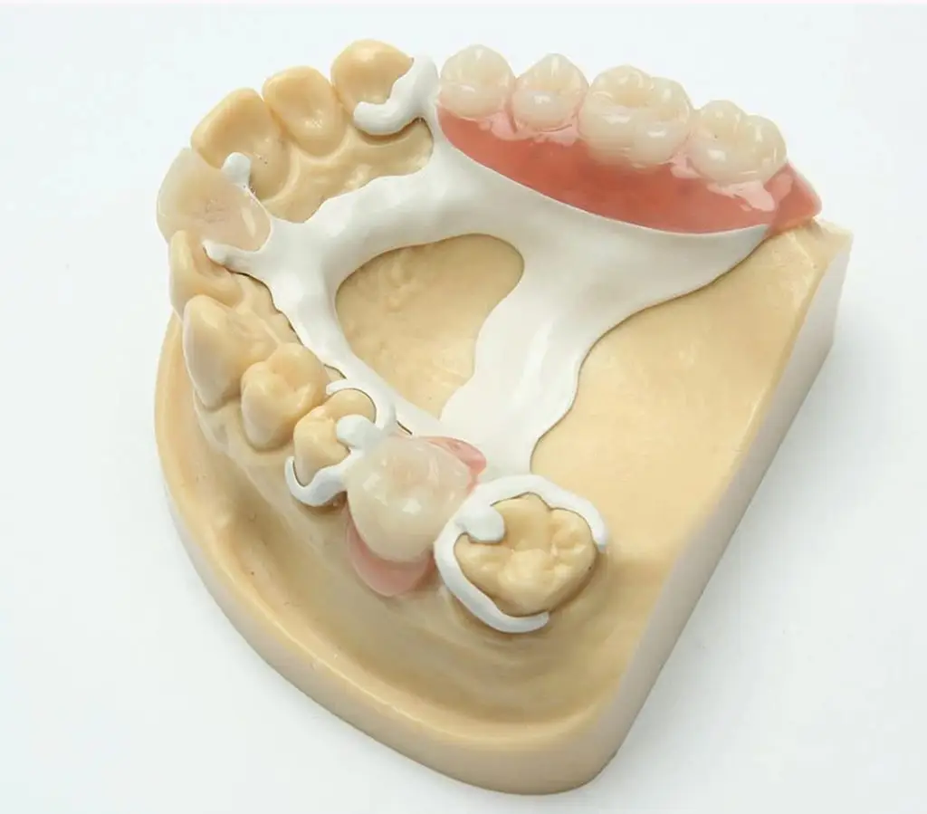
Prótesis Flexibles

¿Buscas una solución dental cómoda, resistente y con un acabado natural? ¡Fabricamos prótesis flexibles de alta calidad para devolver funcionalidad y confianza a las sonrisas de tus pacientes.

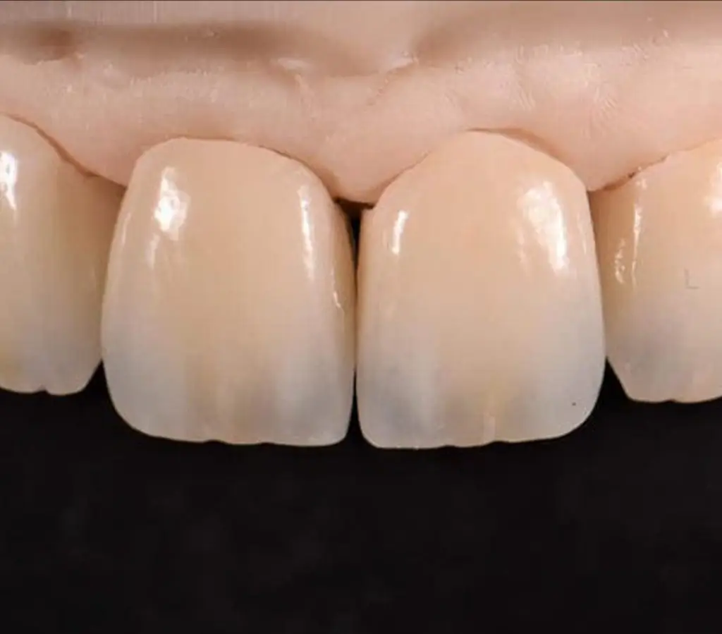
Disilicato de litio

¿Buscas restauraciones dentales que combinen resistencia, belleza natural y biocompatibilidad? Ofrezco soluciones personalizadas en disilicato de litio, el material de vanguardia ideal para coronas, carillas, inlays, onlays y puentes de última generación.




















